Contact Number

+91 77230 19818

Clinic Timming

5:30 PM to 8:00 PM

Email Address

dr.swapnilgarde@ymail.com

Echocardiography test in Bhopal

What is an Echocardiography Test?

An Echocardiography Test in Bhopal, also known as an Echo test, is a painless and non-invasive diagnostic procedure that uses high-frequency ultrasound waves to create detailed images of your heart. It helps doctors assess how well your heart and its valves are functioning.

During the Echocardiography at Garde Medics, our expert team uses advanced equipment to visualize the heart’s chambers, valves, and blood flow patterns. The test helps in identifying structural and functional heart abnormalities that may not be visible through an ECG alone.

Doctor performing Echocardiography Test in Bhopal on a male patient using an ultrasound probe on the chest.
Female undergoing a TMT Test in Bhopal, attached to ECG electrodes while walking on a treadmill for cardiac stress testing.

Why is an Echocardiography Test Important?

Your heart constantly works to pump blood and oxygen throughout your body. Any disturbance in its function can lead to serious health issues. The Echocardiography Test in Bhopal helps in:

  • Detecting heart valve diseases

  • Assessing the pumping strength of the heart

  • Diagnosing congenital heart defects

  • Identifying heart infections or inflammations

  • Monitoring progress after cardiac surgery or treatment

Early detection through an Echocardiography Test in Bhopal allows timely intervention and prevents complications such as heart failure or arrhythmia.

Types of Echocardiography Tests Available in Bhopal

At Garde Medics, we offer various types of Echocardiography Tests in Bhopal based on the patient’s condition:

1. Transthoracic Echocardiography (TTE)

This is the most common type of Echo test. It involves placing a transducer on your chest to capture images of the heart. It is painless and usually takes about 20–30 minutes.

2. Transesophageal Echocardiography (TEE)

In this procedure, the ultrasound probe is inserted through the esophagus to get a clearer image of the heart’s internal structures. TEE Echocardiography Test in Bhopal is recommended when detailed imaging is needed.

3. Stress Echocardiography

This test is performed while your heart is under physical or medical stress. It helps detect coronary artery disease and evaluates how the heart performs during activity.

4. Fetal Echocardiography

This test checks the heart of an unborn baby during pregnancy. It helps detect congenital heart issues before birth.

5. Doppler Echocardiography

It measures the direction and speed of blood flow within the heart. The Doppler Echocardiography Test in Bhopal helps identify blood leakage or valve blockage problems.

Why Choose Garde Medics for Echocardiography Test in Bhopal?

When it comes to your heart, precision and expertise matter the most. Here’s why patients trust Garde Medics for their Echocardiography Test in Bhopal:

  • Led by Dr. Swapnil S. Garde, a renowned Interventional Cardiologist with years of experience
  • State-of-the-art diagnostic equipment for accurate results
  • Patient-first approach with minimal waiting time
  • Comprehensive evaluation and counseling after the test
  • Affordable cost without compromising quality
  • Safe and hygienic testing environment

At Garde Medics, we believe in combining medical science with compassion to deliver complete heart care under one roof.

How is the Echocardiography Test Performed?

The Echocardiography Test in Bhopal is simple, safe, and does not cause any discomfort. Here’s what you can expect:

  1. You’ll be asked to lie down on an examination bed.

  2. A gel is applied to your chest area to ensure proper contact with the ultrasound transducer.

  3. The transducer is moved over your chest to record heart images.

  4. The data is analyzed by Dr. Swapnil S. Garde, who provides a detailed report on your heart’s condition.

The entire procedure takes about 30 minutes and requires no special preparation.

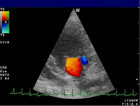
Color Doppler echocardiography test image showing blood flow velocities in the heart, with ECG trace, for Echocardiography Test in Bhopal.

Frequently Asked Questions (FAQ's)

1. What is the Echocardiography Test in Bhopal used for?

The Echocardiography Test in Bhopal is used to check how well your heart and its valves are working. It creates live images of your heart using sound waves, helping doctors detect heart valve problems, heart failure, or structural abnormalities early. At Garde Medics, Dr. Swapnil S. Garde uses this test to evaluate overall heart health and guide the right treatment.

2. How much does an Echocardiography Test cost in Bhopal?

The Echocardiography Test cost in Bhopal generally ranges between ₹1,000 and ₹3,500, depending on the type of test (TTE, TEE, or Stress Echo) and hospital setup. At Garde Medics, we provide accurate and affordable Echocardiography Tests in Bhopal with complete transparency and expert guidance from Dr. Swapnil S. Garde.

3. How long does the Echocardiography Test in Bhopal take?

A standard Echocardiography Test in Bhopal usually takes 30 to 45 minutes. In some advanced tests, such as Transesophageal Echocardiography (TEE), it may take slightly longer. The procedure is completely safe and performed under expert supervision for reliable results.

4. Is the Echocardiography Test in Bhopal painful or risky?

No, the Echocardiography Test in Bhopal is non-invasive, painless, and completely safe. It uses ultrasound waves not radiation to create heart images. You may feel a bit of pressure on your chest from the transducer, but there is no pain or recovery time required.

The Echocardiography Test in Bhopal is used to check how well your heart and its valves are working. It creates live images of your heart using sound waves, helping doctors detect heart valve problems, heart failure, or structural abnormalities early. At Garde Medics, Dr. Swapnil S. Garde uses this test to evaluate overall heart health and guide the right treatment.

The Echocardiography Test cost in Bhopal generally ranges between ₹1,000 and ₹3,500, depending on the type of test (TTE, TEE, or Stress Echo) and hospital setup. At Garde Medics, we provide accurate and affordable Echocardiography Tests in Bhopal with complete transparency and expert guidance from Dr. Swapnil S. Garde.

A standard Echocardiography Test in Bhopal usually takes 30 to 45 minutes. In some advanced tests, such as Transesophageal Echocardiography (TEE), it may take slightly longer. The procedure is completely safe and performed under expert supervision for reliable results.

No, the Echocardiography Test in Bhopal is non-invasive, painless, and completely safe. It uses ultrasound waves not radiation to create heart images. You may feel a bit of pressure on your chest from the transducer, but there is no pain or recovery time required.

Scroll to Top